- Что такое закупорка кишечника и чем она опасна
- В чем опасность
- Диагностика в ветеринарной клинике
- Неудачная терапия – контрольный лист
- Типы операций по поводу непроходимости кишечника включают в себя:
- Кишечная непроходимость, симптомы и лечение
- Признаки непроходимости кишечника у кота
- Диагностика
- Какие признаки указывают на кишечную непроходимость?
- Как предотвратить кишечную непроходимость?
- Лечение кишечной непроходимости
- Основные симптомы
- Параметры процедуры
- Что такое закупорка кишечника и чем она опасна
- В чем опасность
- Меры профилактики
- Лечение Инвагинации кишечника:
- Оперативное вмешательство
- Что делать после операции
- Классификация и стадии развития кишечной непроходимости
- Динамическая кишечная непроходимость
- Механическая кишечная непроходимость
- Сосудистая кишечная непроходимость
- Когда требуется хирургическое вмешательство при кишечной непроходимости?
- Кишечная непроходимость у кошек симптомы
- Причины развития мальабсорбции
Что такое закупорка кишечника и чем она опасна
Кишечная непроходимость у кота (она же закупорка или обструкция) – невозможность прохождения или частичное прохождение кормовых масс по пищеварительному тракту.
В чем опасность
Кишечник работает без перерыва, и даже если произошла закупорка, пищеварительный сок и ферменты продолжают вырабатываться, а стенки кишечника продолжают всасывать питательные вещества, поступающие в него. Пищеварительный сок, не имея выхода, накапливается, раздражает желудок и вызывает неукротимую рвоту, что приводит к быстрому обезвоживанию.
При непроходимости кишечника нужно показать кота ветеринару
Если причина непроходимости – инородное тело, инвагинация или заворот, в месте застоя нарушается кровообращение и кишечник моментально отекает. Без лечения отек перерастает в воспаление и далее – в некроз
Интоксикация организма развивается за 1-2 дня, поэтому важно обратиться в клинику после первых же симптомов
Диагностика в ветеринарной клинике
Непроходимость кишечника у кошек, симптомы и лечение которой должен определять врач – заболевание, которое нельзя оставлять без внимания. Однако лучший помощник в постановке диагноза м владелец животного. Ведь только хозяин может рассказать все о своем животном, чтобы доктор принял верное решение о том, как диагностировать и лечить заболевание.
Хозяевам предстоит содержательно ответить на вопросы врача:
- как давно появилась рвота и как часто она бывает;
- как изменился аппетит кошки за последнее время;
- как давно кошка какала, и какой был кал;
- склонна ли кошка играть с мелкими предметами и жевать их.
Также необходимо сдать кровь на биохимический и общеклинический анализы, чтобы оценить общее состояние организма.
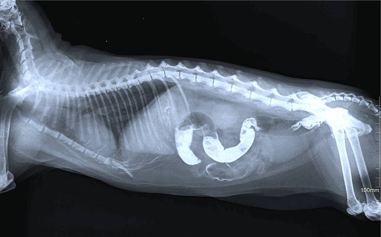
Для диагностики кошке делают рентген с контрастом
При подозрении на кишечную непроходимость доктор назначит ряд исследований:
- УЗИ брюшной полости.
- Рентген с контрастом. В качестве контраста используется сульфат бария. С его помощью можно увидеть путь следования пищевого комка по желудку. Кроме того, нередки случаи, когда барий «обволакивал» инородное тело и выводил его с фекалиями. В этих случаях операции удается избежать.
- Если все симптомы указывают на инородное тело, но по УЗИ и рентгену его увидеть не удалось, проводится диагностическое вскрытие (диагностическая лапаротомия).
Неудачная терапия – контрольный лист
Диетические аспекты
- диета должна подбираться индивидуально для каждой кошки, домашние диеты более предпочтительны на период диагностики, сбалансированные диеты лучше для длительного применения;
- иногда приходится попробовать несколько диет;
- недельная диета должна адекватно основываться на данных клинического ответа у кошек с IBD.
Глюкокортикоиды
- лучше использовать преднизолон, чем преднизон;
- используйте будезонит, если опасаетесь побочных эффектов;
- титруйте дозу до нужного эффекта, чтобы не вызвать глюкозурию;
- будет ли преднизолон абсорбироваться – стоит рассмотреть применение п/к дексаметазона в случаях тяжелой маьабсорбци.
Сопутствующие заболевания ЖКТ
есть ли сопутствующие заболевания ЖКТ – дефицит кобаламина, паразиты, недиагностированная лимфома
Диабет
Связана продолжительная потеря веса с недавно развившимся диабетом – диабет может возникать на фоне длительного приема глюкокортикоидов, просите владельцев эпизодически проверять глюкозурию с помощью тест-полосок.
Гипертиреоз
Связана ли продолжительная потеря веса с недавно диагностированным гипертиреозом?
Панкреатит
- часто сопровождает IBD у кошек;
- диагностируют с помощью УЗИ и ИПЛ;
- кошек с отсутствием аппетита лечат п/к введением жидкостей и анальгетиками.
Холангеогепатит
- часто сопровождает IBD у кошек;
- диагностируют с помощью пробы на щелочнуюфсфатазу, УЗИ живота и биопсии печени;
- посев желчи, лечение инфекции;
- начинают лечение урсодиолом
Типы операций по поводу непроходимости кишечника включают в себя:
- Хирургическая резекция: удаление обструкции необходимо при наличии массы, такой как опухоль.
- Удаление спаек: если у Вас есть рубцовая ткань, сжимающая кишечник снаружи, часто требуется отрезать их, хотя рубцовая ткань может вернуться снова.
- Размещение стента: стент, представляющий собой трубку, которая удерживает кишечник открытым, может быть размещен внутри кишечника, чтобы обеспечить прохождение пищи и стула и предотвратить закупорку. Это может быть необходимо, когда непроходимость кишечника повторяется или когда кишечник сильно поврежден.
- Колостома / илеостомия: если Ваш кишечник поврежден или воспален, может потребоваться постоянная или временная илеостомия или колостомия, которая является искусственным отверстием в животе для удаления отходов или стула. Иногда это временные структуры, необходимые для предотвращения распространения тяжелой желудочно-кишечной инфекции по всему организму. Однако возможно, что концы кишечника не могут быть повторно соединены, и эти отверстия могут потребоваться в течение длительного времени.
- Реваскуляризация. При ишемическом колите может потребоваться реваскуляризация, то есть восстановление заблокированных кровеносных сосудов, которые поставляют кровь в кишечник.
Кишечная непроходимость, симптомы и лечение
By
27.01.2015
Кишечная непроходимость
Наиболее вероятна непроходимость в тонком кишечнике или в подвздошно-слепокишечном соединении и очень редко в толстом кишечнике. Чаще всего причиной непроходимости бывают инородные тела, но возможны также и опухоли, инвагинации, врожденные или приобретенные структуры или паралич подвздошной кишки. Закупорка инородным телом наиболее распространена у собак и кошек . Собаки собирают мусор или глотают камни, кошки чаще всего глотают нитки. Из всех опухолей наиболее часто закупоривает кишечник аденокарцинома, так как она обычно растет в просвет, в отличие от лимфосаркомы, которая образует кольцевидное утолщение кишечной стенки. Непроходимость чаще всего случается в подвздошно-слепокишечном соединении с вхождением тонкого кишечника в ободочную кишку.
Симптомы
Симптомы в некоторой степени зависят от места непроходимости. Непроходимости проксимального отдела тонкого кишечника часто проявляются острыми приступами неукротимой рвоты с выделением перед этим испражнений, часто диарейных по своему характеру. При наличии крови в фекалиях она бывает темного цвета и дегтеобразная по консистенции. Обструкции в дистальном отделе тонкого кишечника также вызывают рвоту, но не такую острую, как проксимальные закупорки. Наблюдается кратковременное выделение оформленных или диарейных фекалий, после чего симптомы прекращаются.
При непроходимости может наблюдаться рвота вместе с выделением фекалий, которые быстро уменьшаются в объеме и приобретают кровавый характер. Аденокарциномы могут частично блокировать кишечник перед тем, как вызвать полную обструкцию. Следовательно, клинические признаки могут быть разнообразными, создавая впечатление скорее хронической проблемы, чем неожиданной острой обструкции. Часто образуются язвы, так что фекалии могут содержать измененную или свежую кровь.
Во всех случаях у животных наблюдают не только рвоту и диарею, но также анорексию и депрессию. Пальпировать инородные тела бывает сложно из-за свободного движения кишечных петель в брюшной полости. Непроходимость часто пальпируются как довольно статичные твердые колбасоподобные структуры в более фиксированном положении. Опухоли небольшого размера трудно пальпировать на ранних стадиях.
Лечение
Во всех вышеописанных случаях требуется хирургическое вмешательство. Медикаментозное лечение скорее всего не принесет эффекта, а чем дольше инородное тело находится в кишке, тем больше вероятность прободения с вытекающими последствиями в виде перитонита и гибели. Удаление аденокарцином возможно, особенно если диагностика проведена до образования спаек или метастазов. В некоторых случаях возможна полная резекция части кишечника с анастомозами здоровой ткани «конец-в-конец».
Признаки непроходимости кишечника у кота
Как определить непроходимость кишечника у вашего кота, какие признаки должны насторожить владельца животного? Приведём клинический пример: кот, 4,5 года. Отказ от еды в течение недели при сохранённой дефекации, которая затем прекратилась совершенно. Рвота с примесью слизи желчи, особенно после питья. Брюшная стенка напряжена, болезненна. Животное пытается тужиться, но безрезультатно. В клинике после исследований обнаружили застрявший в кишечнике шарик из фольги от шоколада.
Владельцы рассказали, что дали его коту «поиграть». Ценой такой «игры» чуть не стала жизнь кота. Всё закончилось благополучно только благодаря тому, что владельцы вовремя обратились в клинику. Таким образом, любой из описанных признаков может указывать на непроходимость кишечника у кота и стать поводом для неотложного визита к ветеринарному специалисту.
Диагностика
Необходимость визита в ветеринарную клинику не подлежит обсуждению, ведь только здесь есть всё, чтобы поставить точный диагноз и начать лечение животного. Основа постановки диагноза при подозрении на кишечную непроходимость у кошек это — опрос владельцев, тщательный осмотр животного, биохимический анализ крови, чтобы оценить состояние животного и выявить возможные заболевания, рентген с контрастным веществом (сернокислый барий), чтобы создать разницу в плотности тканей и инородным телом для лучшей видимости.
Какие признаки указывают на кишечную непроходимость?
Кишечная непроходимость – это серьезное заболевание, которое характеризуется неполноценной работой кишечника, которую возможно обнаружить по ряду признаков:
- Сильная боль в животе – сильная боль может указывать на то, что кишки заворачиваются, происходит резкая искривление кишечника, что приводит к другим проблемам, например, к высыпанию крови или инфекции.
- Запор — при кишечной непроходимости в большинстве случаев наблюдается спастический запор, который препятствует пропусканию объемных масс кала, в результате чего может усилиться давление и увеличиться размер кишечника.
- Рвота – при непроходимости пища попадает в желудок, но не может проходить дальше из-за препятствий, вызывая тошноту и рвоту.
- Отсутствие кала и газов – при нарушении работы кишечника, кал не может выйти, и признак не проявляется. Это можно заметить по отсутствию газов и необходимости в туалете.
- Холодный пот и бледность – это может быть признак тревоги, что кровь смещается от органов пищеварения к важным системам, таким как сердечно-сосудистая система.
Как предотвратить кишечную непроходимость?
Правильное питание: Здоровое питание является ключевым элементом профилактики кишечной непроходимости. Необходимо следить за тем, чтобы рацион был богатым клетчаткой, которая способствует нормальному пищеварению и ускоряет процесс переваривания пищи
Употребление достаточного количества воды также очень важно для поддержания здоровья кишечника
Физическая активность: Регулярные физические занятия также играют важную роль в профилактике кишечной непроходимости. Тренировки помогают стимулировать работу кишечника и предотвращают стаз кала в кишечнике.
Избегайте стресса: Стресс может негативно сказаться на работе кишечника. Поэтому необходимо стараться держать под контролем свои эмоции и не попадать в ситуации, которые могут привести к стрессу.
Периодические обследования: Если у вас есть проблемы с кишечником, необходимо периодически проходить обследования для выявления и предотвращения возможных проблем. Это также может оказаться полезным для людей, в семье которых есть случаи кишечной непроходимости.
Отказ от вредных привычек: Курение и употребление алкоголя негативно сказываются на работе кишечника. Отказ от этих вредных привычек может помочь предотвратить кишечную непроходимость.
Лечение кишечной непроходимости
При подозрении на кишечную непроходимость больной обязательно подлежит экстренной госпитализации в хирургическое отделение.
Важно! Не допускается самолечение обезболивающими и спазмолитическими препаратами. В ранние часы после начала заболевания, при отсутствии тяжелых осложнений проводится консервативная терапия
В ранние часы после начала заболевания, при отсутствии тяжелых осложнений проводится консервативная терапия.
Для консервативного лечения применяются:
- эвакуация желудочного и кишечного содержимого при помощи зондирования;
- при спазмах – спазмолитическая терапия (дротаверин, платифиллин); при параличе – стимулирующие моторику препараты (прозерин);
- внутривенное введение солевых растворов для нормализации обменных процессов;
- сифонные клизмы;
- лечебная колоноскопия, при которой можно устранить завороты кишечника, желчные камни.
Чаще всего больному проводится оперативное вмешательство, целью которого является устранение непроходимости, удаление нежизнеспособных тканей кишечника.
Проводятся следующие вмешательства:
- раскручивание петель кишечника;
- рассечение спаек;
- резекция (удаление) части кишечника с последующим сшиванием концов кишечника;
- при невозможности устранения причины непроходимости проводится наложение колостомы (выведение каловых масс наружу);
- при грыжевых образованиях проводится их пластика.
Длительность и результат лечения напрямую зависят от причины, вызвавшей кишечную непроходимость, срока начала лечения.
Основные симптомы
На начальной стадии непроходимость (илеус) практически не появляется. Насторожить владельца должны такие признаки, как тошнота, запор, вздутие живота.
По мере развития заболевания кот перестает проявлять интерес к пище, не пьёт. Это связано с тем, что желудок не опорожняется и становится все больше из-за непереваренной пищи. Тошнота переходит в рвоту, приступы которой наблюдаются каждые 15-20 минут. Рвотные массы иногда содержат частички кала.
Стул отсутствует. В начале болезни или в случае частичной непроходимости возможны небольшие отхождения каловых масс, образовавшихся до закупорки кишечника.
При пальпации можно ощутить напряжённость и твёрдость брюшной полости, иногда прощупывается инородное тело, которое кот проглотил.
Параметры процедуры
Существует несколько вариантов хирургического лечения кишечной непроходимости. Хирургическое вмешательство обычно является неотложным, что означает, что Вы можете пройти хирургическое вмешательство в течение нескольких часов или нескольких дней после того, как у Вас диагностирована непроходимость кишечника. Некоторые лекарства могут помочь при тошноте, но они не предотвращают ухудшение или улучшение кишечной непроходимости.
В идеале Вы не должны есть или пить около восьми-десяти часов до операции такого типа, но из-за срочности предоперационное голодание не всегда возможно. Операция по поводу непроходимости кишечника обычно проводится под общим наркозом в операционной.
У Вас может быть открытая операция с большим разрезом или минимально инвазивная операция с несколькими небольшими разрезами и камерой для визуализации. Это зависит от местоположения, размера и причины непроходимости кишечника. Большие опухоли или широко распространенные спайки могут потребовать открытой процедуры, в то время как небольшая опухоль или инфекция могут лечиться с помощью минимально инвазивной хирургии.
Что такое закупорка кишечника и чем она опасна
Кишечная непроходимость у кота (она же закупорка или обструкция) – невозможность прохождения или частичное прохождение кормовых масс по пищеварительному тракту.
В чем опасность
Кишечник работает без перерыва, и даже если произошла закупорка, пищеварительный сок и ферменты продолжают вырабатываться, а стенки кишечника продолжают всасывать питательные вещества, поступающие в него. Пищеварительный сок, не имея выхода, накапливается, раздражает желудок и вызывает неукротимую рвоту, что приводит к быстрому обезвоживанию.

При непроходимости кишечника нужно показать кота ветеринару
Если причина непроходимости – инородное тело, инвагинация или заворот, в месте застоя нарушается кровообращение и кишечник моментально отекает. Без лечения отек перерастает в воспаление и далее – в некроз
Интоксикация организма развивается за 1-2 дня, поэтому важно обратиться в клинику после первых же симптомов
Меры профилактики
Зачастую риск закупорки кишечника у кошки можно свести к минимуму, если придерживаться следующих правил:
- Обезопасить жилище. Кошки любят шуршащие игрушки, приятно пахнущие пакетики и прочее. Особенно опасное время года для них – новогодние праздники, когда в доме стоит елка, украшенная гирляндами. Если в доме живет кошка – необходимо убрать из ее прямого доступа любые предметы, которые она может проглотить. Желательно, чтобы мусорная корзина тоже была накрыта. Даже целлофановые обертки от сосисок могут привести к тому, что у кошки произойдет закупорка кишечника. Следует следить за тем, с чем играет питомица. Желательно, чтобы у нее были специальные игрушки, которые она не сможет проглотить.
- Качественное и сбалансированное питание. Большинство проблем с нарушением работы желудочно-кишечного тракта обычно связаны с некачественным или несбалансированным питанием. Низкокачественные корма приводят к нарушению обмена веществ, что может привести к запорам и образованию каловых пробок.
Если кошка питается только сухим кормом, у нее постоянно в свободном доступе должно быть достаточное количество питьевой воды. Среди промышленных кормов предпочтение стоит отдать премиум и супер-премиум классу.
С натуральным питанием все тоже не так просто. Существует список продуктов, которые следует полностью исключить из рациона: копчености, соленья, жирное мясо, сладости, бобовые. В дополнение к натуральному рациону кошке периодически следует давать комплекс витамин и минералов. - Профилактическая дегельминтизация. Профилактику заражения глистами следует делать даже для домашних кошек, ведь заражение паразитами возможно в том числе через уличную одежду и обувь хозяина. Делать профилактику следует не реже, чем раз в полгода. Таблетку от глистов дают с утра перед едой. Если с калом выйдут гельминты, повторно таблетку дают через 10 дней.
- Вычесывание в период линек. В результате вылизывания в линьку в желудок кошек попадает большое количество шерсти. Чтобы этого избежать, кошку следует периодически вычесывать. Особенно это касается длинношерстных пород (Шантильи-тиффани, Мейн-кун, Сибирская кошка и др.), которые наиболее подвержены закупориванию кишечника из-за комков шерсти.
Также питомцу можно давать специальную траву, с помощью которой он сам будет чистить желудок. Ее можно легко выращивать в горшке на подоконнике. - Своевременная вакцинация. Первые прививки котенку делают, когда ему исполняется 2-3 месяца. После этого вакцинацию необходимо повторять ежегодно даже для кошек, которые не имеют свободного доступа на улицу.
- Профилактические осмотры у ветеринара. Особенно это касается пожилых животных, которые наиболее уязвимы для различных заболеваний. Кошку необходимо приводить на профилактический осмотр к ветеринару хотя бы раз в год. При этом хозяин должен и сам следить за состоянием здоровья своей любимицы, и при первых симптомах заболевания, показывать ее специалисту.
Таким образом, непроходимость кишечника у кошек встречается довольно часто. Привести к ней может проглатывание каких-то предметов или другие сопутствующие заболевания. В случае закупорки кишечника у питомца, действовать нужно быстро, ведь счет идет на часы. Если не оказать животному своевременную помощь, оно вполне может погибнуть. Вовремя проведенная операция спасет кошке не только здоровье, но и жизнь.
Лечение Инвагинации кишечника:
Для успешного исхода терапию следует начинать в первые сутки от момента проявления признаков инвагинации кишечника. В больнице ребенку ставят клизмы, актуальны и хирургические методы лечения в некоторых случаях. Методы лечения могут быть разными, что зависит от ситуации, возраста больного и т.д.
Для лечения инвагинации кишечника эффективными являются клизмы с воздухом, физиологическим раствором и барием. Клизма увеличивает давление в кишечнике малыша, потому инвагинация кишечника распрямляется. Эта процедура называется также редукцией. При использовании клизм для контролирования состояния кишки необходим рентген или ультразвуковая диагностика.
Клизма эффективна в 75 случаях из 100. Есть данные, что более эффективна клизма с воздухом, чем с барием или физиологическим раствором. ). Успех процедуры также зависит от длительности симптомов: чем дольше присутствуют признаки инвагинации, тем меньшей является вероятность успешного применения клизмы.
Перфорации кишечника возникают в 25 из 1000 случаев применения клизмы с жидкостью. При воздушных клизмах соотношение количества перфораций к количеству попыток поставить клизму является 2 к 1000. Эту процедуру в некоторых случаях применяют еще раз. Но не рекомендуется повторение более 3 раз. Не применяют такой метод лечения при наличии признаков воспалительных процессов в брюшной стенке, при сепсисе (генерализированная инфекция), перфорировании, гангрене кишки.
Оперативное вмешательство
Показания для хирургических методов лечения инвагинации кишечника:
- у доктора появились подозрения повреждения стенки кишечника – в таких случаях хирургическое лечение должно быть экстренным
- клизма не помогла даже с 3-й попытки
- кишка лопнула, каловые массы проникают с брюшную полость
Этапы проведения операции по лечению инвагинации:
- Делают разрез кожи на передней брюшной стенке.
- Вовлеченный участок кишки аккуратно растягивают, чтобы восстановить нормальную форму кишечника.
- Поврежденные участки врач удаляет.
- Удаляют и аппендикс, даже если он здоров.
- На рану накладывают нужное количество швов.
При удалении большой протяженности кишечника или развитии тяжелой инфекции нужно проводить илеостомию на определенный период. Это операция по соединению просвета тонкого кишечника через брюшную стенку с калоприемником. Без лечения возникает кишечная непроходимость, вероятен и разрыв стенки кишки, последствием чего является генерализация инфекции, что влечет в большинстве случаев за собой летальный исход.
Инвагинация может рецивидировать, что происходит в части случаев. Если проводилось лечения клизмами, в 10 случаях из 100 возможен рецидив. Далее клизму ставят повторно или прибегают к оперативному вмешательству. При применении хирургического лечения рецидив фиксируют в 2-5% случаев. Тогда делают операцию повторно, чтобы расправить кишку и найти причины заболевания. Иногда удаляют часть кишки, на которой возникает патология.
Что делать после операции
После оперативного вмешательства около 2-3 недель следует быть внимательными, чтобы заметить у ребенка возможное появление осложнений:
- тошнота и рвота
- понос
- повышение температуры
- беспокойство и частый плач
Следует заботиться о шве. Поддерживайте гигиену этой области, проверяйте, не появились ли признаки заражения послеоперационной раны:
- отек тканей
- боль
- увеличение температуры на том участке
- покраснение шва и вокруг него
Классификация и стадии развития кишечной непроходимости
По происхождению ОКН бывает:
- врождённой
- приобретённой.
По механизму возникновения ОКН делится на динамическую, механическую и сосудистую.
Динамическая кишечная непроходимость
Динамическая кишечная непроходимость включает:
- паралитическую непроходимость — образуется чаще всего, связана со снижением мышечного тонуса кишечника;
- спастическую — встречается редко, связана с повышенным тонусом кишечника;
Механическая кишечная непроходимость
Механическая кишечная непроходимость включает:
- обтурационную — характерна закупорка просвета кишки изнутри опухолями, каловыми камнями, аскаридами и другими факторами, а также сдавливание кишечника извне опухолями и пакетами увеличенных лимфоузлов;
- странгуляционную — возникает по причине заворотов, узлообразования и ущемления грыжы;
- смешанные формы — инвагинация и некоторые формы спаечной непроходимости.
Сосудистая кишечная непроходимость
Сосудистая кишечная непроходимость — это закупорка (эмболия, тромбоз) сосудов кишечника с развитием в течение нескольких часов гангрены части кишечника. Это особый вид кишечной непроходимости, который очень трудно диагностировать. Чаще всего заболевание возникает у тяжёлых пациентов c несколькими хроническими болезнями, больных с аритмиями, пороками и аневризмой сердца.
Данная патология очень быстро приводит тяжёлому состоянию: пациент стонет от невыносимых схваткообразных болей в животе, значительно повышается артериальное давление (симптом Блинова), кожные покровы покрываться холодным потом, лицо бледнеет (“маска Гипократа”). При осмотре отмечается прогрессирующий метеоризм с непрерывными рвотами желудочным застойным содержимым, а впоследствии и кишечными зловонными массами. При сосудистой кишечной непроходимости развивается тахикардия, снижается суточная выработка мочи и возникает резкая боль, которая отличает этот вид непроходимости от остальных.
По уровню (локализации) обструкции выделяют два типа кишечной непроходимости:
- тонкокишечная непроходимость:
- высокая (тощая кишка);
- низкая (подвздошная кишка);
- толстокишечная непроходимость.
По клиническому течению ОКН бывает:
- частичной;
- полной:
- острой;
- подострой;
- хронической рецидивирующей.
В развитии патологического процесса выделяют три стадии синдрома:
- I стадия — стадия острого нарушения кишечного пассажа;
- II стадия — стадия острых расстройств гемоциркуляции в стенке кишки;
- III стадия — стадия перитонита.
Одной из редких форм КН является синдром Огилви — ложная толстокишечная непроходимость. Этот синдром проявляется клинической картиной толстокишечной непроходимости, но при проведении операции обнаруживается отсутствие какого-либо механического препятствия в толстой кишке.
Когда требуется хирургическое вмешательство при кишечной непроходимости?

Кишечная непроходимость — это серьезное заболевание, которое может потребовать хирургического вмешательства в тяжелых случаях. Одной из главных причин, когда требуется операция, является поперечное складывание кишки, которое приводит к преграде для прохождения кишечного содержимого.
Другой причиной может быть грыжа, которая приводит к перекручиванию кишечника и нарушению его кровоснабжения. Если лечение не приводит к положительным результатам, то врачи могут принять решение об операции.
Хирургическое вмешательство может теребоваться в экстренных случаях, когда кишечная непроходимость вызвана острой кишечной непроходимостью. Острое нарушение прохождения содержимого кишечника может привести к серьезным последствиям, таким как перитонит или шок. Хирурги могут выполнять различные операции в зависимости от причины и тяжести заболевания.
В любом случае, необходимо соблюдать предписания врача и своевременно обращаться за медицинской помощью. Регулярное наблюдение и лечение могут привести к избежанию хирургического вмешательства и сохранению здоровья кишечника.
Кишечная непроходимость у кошек симптомы
Развитие процесса характеризуется рядом симптомов:
- Рвота, усиливающаяся со временем. В первые дни рвота обусловлена скоплением жидкости в желудке и верхних отделах кишечника. Часто владельцы начинают давать больше жидкости для питья животному, что усугубляет ситуацию и приводит к усилению симптома.
- Ухудшение аппетита, приводящее к полному отказу от еды и питья. Скопление непереваренных остатков пищи приводит к постоянному воздействию на рецепторы голода. Вследствие этого животное отказывается от употребления пищи.
- Отсутствие дефекации или её скудность. Данные симптомы кишечной непроходимости у кошек обусловлены обструкцией. В первые дни заболевания возможны выделения каловых масс из отделов, расположенных ниже места закупорки. После их отхождения дефекация полностью прекращается.
- Общее ухудшение состояния. Вследствие нарастающей интоксикации кошка становится вялой, малоподвижной, часто мяукает, не реагирует на пищу или игры.
- Болезненность и вздутие живота. Накопление газов приводит к визуальному увеличению живота. На ощупь передняя брюшная стенка твердая, трудно поддается пальпации, кошка громко мяукает при касаниях.
При подозрении на кишечную непроходимость не нужно поить и кормить кошку, поскольку это может привести к тяжелому осложнению – разрыву стенки кишки.
Причины развития мальабсорбции
1. Патологии или повреждения тонкого кишечника, которые приводят к проблемам поглощения важных питательных веществ:
- глютеновая болезнь;
- болезнь Крона;
- Болезнь Уиппла;
- побочный эффект от лучевой терапии;
- чрезмерный рост бактерий в тонком кишечнике;
- паразитическая инфекция;
- операция по удалению всего или части тонкого кишечника.
2. Ферменты, вырабатываемые поджелудочной железой, помогают усваивать жиры и другие питательные вещества. Снижение активности этих ферментов затрудняет усвоение жиров и некоторых питательных веществ. Проблемы с поджелудочной железой вызывают:
- кистозный фиброз;
- инфекции или отек поджелудочной железы;
- травма поджелудочной железы;
- операция по удалению части поджелудочной железы.
Некоторые из других причин мальабсорбции включают в себя:
- СПИД и ВИЧ;
- некоторые лекарства – тетрациклин, некоторые антанциды, некоторые лекарства, используемые для лечения ожирения, колхицин, акарбоза, фенитоин, холестирамин;
- резекция желудка и хирургическое лечение ожирения;
- холестаз;
- хроническое заболевание печени;
- непереносимость белка коровьего молока;
- непереносимость белка сои.







